4D OBST
2026-04-21T17:36:41
read more

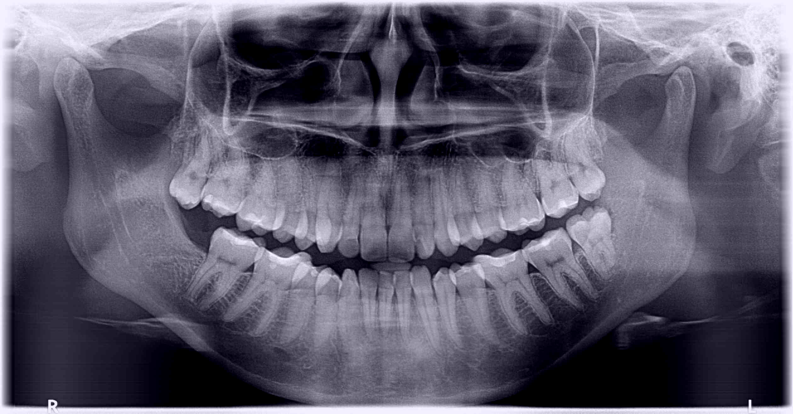
Digital opg available in Rohini Digital Xray in Delhi Digital O.P.G in Rohini OPG stands for Orthopantomogram, which is a type of dental X-ray that provides a panoramic view of the jaw and teeth. It's also known as a Panorex or Orthopantomagraph.
We hate spam too.