
Single tooth IOPA

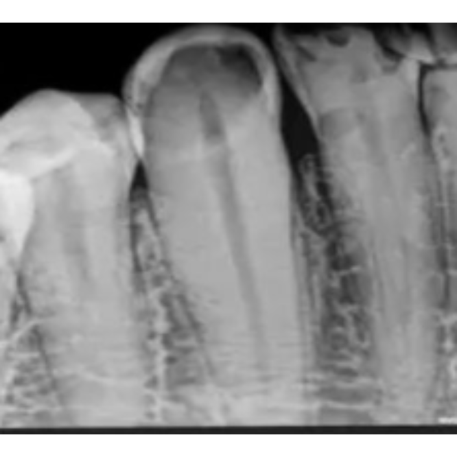
Single tooth IOPA scan is available C-8/193 sector - 8 Rohini delhi 9811552279, 7827070020 A single tooth IOPA (Intraoral Periapical Radiograph) is a dental X-ray that captures a detailed image of one specific tooth and the surrounding bone and tissue, including the tooth's root and the periodontal ligament. This diagnostic tool is used by dentists to identify issues like tooth decay, abscesses, bone loss, or root fractures that may not be visible on the surface of the tooth. Purpose of a Single Tooth IOPA Detecting Decay and Disease: IOPAs can reveal cavities, tooth decay, and other dental problems that are hidden from view. Assessing Root and Bone Health: The X-ray provides a clear view of the tooth's root structure and the bone supporting it, which is essential for diagnosing infections, cysts, and bone loss. Monitoring Treatment Progress: Dentists use IOPAs to monitor the success of treatments, such as root canals, dental implants, and other restorative procedures. Evaluating Tooth Anomalies: It helps in identifying developmental issues or anomalies in the tooth's structure, like a dens invaginatus. Identifying Abscesses and Cysts: A single tooth IOPA can show the presence of abscesses or cysts around the tooth's root. How it Works A small film or digital sensor is placed inside the patient's mouth next to the tooth to be examined. An X-ray beam is directed at the tooth and sensor to create a detailed image of the tooth's entire length, from the crown to the root tip, and the surrounding areas. The image is then developed to reveal the internal structures of the tooth and bone, allowing the dentist to make an accurate diagnosis and treatment plan.
Subscribe for latest offers & updates
We hate spam too.
